38세 / 남성 / 19개월 / 총생, 과개교합
35세 / 여성 / 20개월 / 총생, 개방교합, 좁은악궁
29세 / 여성 / 23개월 / 총생, 개방교합, 반대교합
29세 / 여성 / 30개월 / 총생, 돌출입
17세 / 남성 / 22개월 / 총생, 왜소치
27세 / 남성 / 30개월 / 총생, 구치부교차교합
29세 / 여성 / 30개월 / 총생, 부정교합2급, 구치부교차교합
27세 / 여성 / 28개월 / 총생, 구치부교차교합
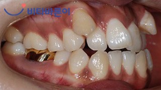
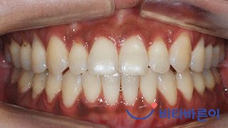
25세 / 남성 / 28개월 / 총생, 반대교합
20세 / 남성 / 23개월 / 총생, 과개교합
26세 / 남성 / 22개월 / 총생
34세 / 남성 / 28개월 / 총생, 개방교합
44세 / 여성 / 36개월 / 총생, 치간이개, 수평피개교합
34세 / 여성 / 23개월 / 개방교합
34세 / 남성 / 18개월 / 총생, 치간이개